My Objective

Public Collections CANP2025Case 12

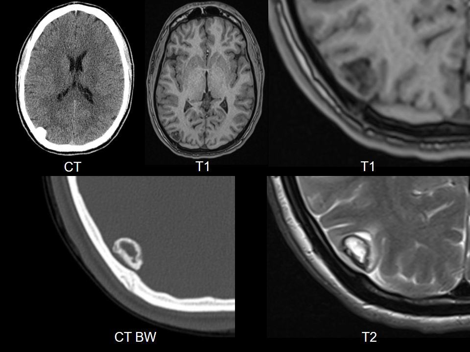
Representative_CT_+_MRI.jpg
SK25-2141.vsi
New folder name:
New folder name: